¿Cómo se calcula la edad de un menor migrante?
Una investigación de la Universidad de Oviedo desarrolla nuevos métodos
Cuando un menor migrante no acompañado llega a España o a cualquier otro país europeo las autoridades tratan de saber su edad, entre otras ... cosas para determinar si realmente son menores de edad. Cuando las autoridades consideran que existen dudas razonables sobre la edad, bien porque carecen de documentación o porque se sospecha que la documentación ha sido manipulada, se pone en marcha un protocolo que incluya pruebas forenses. Las pruebas solo se realizan cuando realmente hay dudas de que puedan ser menores de edad.
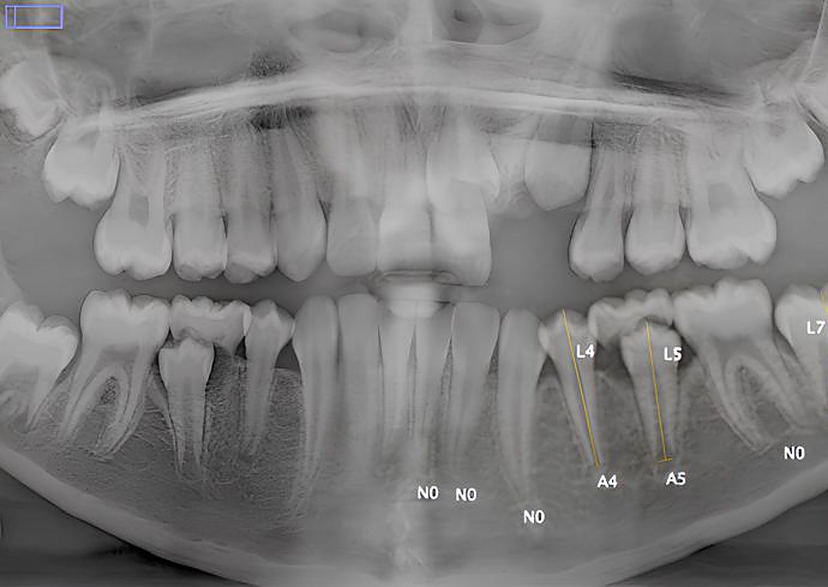
Los métodos que se usan para estimar la edad incluyen tres mediciones. La primera es un estudio dental. La segunda, el estudio de los huesos carpianos y las epífisis del cúbito y el radio. Y, la tercera, una combinación de ambos parámetros.
Una investigación en la que participa la Universidad de Oviedo ha analizado la exactitud de dichas pruebas y ha desarrollado un nuevo método. El objetivo era comparar la exactitud de las fórmulas para cada uno de los tres métodos en muestras de niños y adolescentes negros sudafricanos y blancos sudafricanos. Y los investigadores han concluido que la combinación del estudio de los dientes y de la mano-muñeca arroja mejores resultados, más fiables, que el análisis de solo los dientes o solo la mano-muñeca. El trabajo, realizado en la universidad asturiana por el profesor de Biología de Organismos y Sistemas Stefano De Luca, ha sido publicado recientemente en la revista International 'Journal of Legal Medicine', de máximo impacto en su área del conocimiento.
Una muestra de 556 personas
El profesor De Luca explica que la muestra estaba formada por 556 personas, 164 negras (71 varones y 93 mujeres) y 392 blancas (171 varones y 221 mujeres) de edades comprendidas entre los 6 y los 16 años. La muestra principal, integrada por estas 556 personas, se dividió en dos partes. La primera se utilizó para desarrollar nuevas fórmulas específicas para la población sudafricana, mientras que la segunda se empleó para evaluar la precisión de estas fórmulas y cuantificar su incertidumbre cuando se aplican a casos reales.
El investigador de la Universidad de Oviedo comenta que el estudio ha demostrado que, combinando dientes y mano-muñeca, se obtiene una estimación de la edad más fiable que empleando solo el estudio de los dientes o de la mano-muñeca, con la única excepción en la muestra de los varones blancos. «La nueva fórmula específica para Sudáfrica mejoró la precisión, especialmente en los varones, lo que sugiere su fiabilidad para una estimación precisa de la edad», explica el científico.
La reciente publicación se ha llevado a cabo en el marco de un proyecto europeo de investigación, el AgEstimation Project. La muestra del estudio, además, ha sido ya analizada en el marco de las actividades de otro proyecto denominado Unaccompanied Minors Automatic Forensic Age Estimation (UMAFAE por su sigla en inglés). Se trata de un proyecto europeo de dos años (2022-2024), en colaboración con Panacea Cooperative Research S. Coop., una startup española especializada, desde hace 8 años, en la aplicación de inteligencia artificial a la identificación humana. La financiación, ya agotada el año pasado, ha sido obtenida por el profesor De Luca, mediante un contrato para investigadores internacionales de excelencia en una convocatoria altamente competitiva de la Unión Europea denominada Marie Skłodowska-Curie Individual Fellowships 2020.
Impacto social
«UMAFAE es un proyecto de alto impacto social y científico ya que tiene como objetivo fundamental desarrollar métodos fiables, precisos y eficientes para estimar la edad de aquellos menores extranjeros y sin referentes familiares que llegan a la Unión Europea, especialmente desde África y Oriente Medio, precisamente desde países muy pobres o afectados por conflictos sociales y políticos muy graves», comenta este investigador. El proyecto UMAFAE es la guinda de una labor de investigación que se viene desarrollando desde el año 2009, cuando el profesor De Luca empezó a colaborar con AgEstimation Project, un proyecto internacional sin fines de lucro, liderado actualmente por la Universidad del Molise, en Termoli, Italia, y que involucra a más de 50 investigadores, entre ellos médicos, odontólogos, antropólogos forenses, procedentes de distintos lugares del mundo. Este proyecto tiene por objeto desarrollar métodos de estimación de la edad, tanto en cadáveres como en vivos, y tanto en personas adultas como subadultas o inmaduras (menores de 18 años).
La colaboración con estos especialistas y profesionales ha permitido la recolección de una muestra de más de 15.000 radiografías de dientes, huesos de la mano y clavícula, cuyo análisis se ha llevado a cabo en estos últimos dos años en España, en conjunto con Panacea Cooperative Research S. Coop. Además, se han utilizado repositorios públicos de imágenes radiográficas. De Luca recuerda que el estudio radiográfico de los dientes, especialmente el tercer molar, de los huesos de la mano izquierda, y de la clavícula es muy útil para estimar, por ejemplo, la mayoría de edad, establecida en los 18 años por numerosos países.
«Gracias al estudio cuantitativo de todas estas imágenes contamos con información valiosa para desarrollar métodos basados en el análisis todas estas regiones anatómicas mencionadas», explica De Luca. «Estamos ya preparando distintas publicaciones científicas de alto impacto, en el marco de UMAFAE, cuyo objetivo principal es proporcionar, a la comunidad científica en general y a los profesionales del área forense en particular, herramientas altamente fiables para estimar un parámetro tan complejo como la edad legal de los menores», añade.
Un odontólogo voluntario
Una de las publicaciones más recientes que se ha realizado en este marco hace referencia al estudio de una muestra poblacional procedente de Sudáfrica, de radiografías de los huesos de la mano y de los dientes que han permitido arrojar luz sobre la eficacia de una fórmula que los investigadores habían previamente desarrollado y validado exclusivamente en poblaciones europeas. Uno de los problemas con los que se encuentran estos estudios es la falta de pruebas forenses de menores africanos, asiáticos y latinos. Era necesario, para fines forenses, poder disponer de datos de poblaciones de esos lugares«. Así que uno de los autores de la investigación, que viajó como odontólogo voluntario a Sudáfrica, recopiló muestras. Y esos datos se han podido emplear ahora para validar los métodos de cálculo de la edad.
El profesor De Luca destaca que, desde el punto de vista técnico, la nueva propuesta de medición es «un método muy fácil de usar y cuya aplicación en los contextos forenses puede mejorar, y mucho, las estimaciones etarias y hacer que la labor forense pueda ser más llevadera gracias a la utilización de una metodología simple, económica y precisa». El investigador reconoce que queda mucho trabajo por hacer, sobre todo en aquellos países donde es más difícil poder recolectar muestras útiles. Sin embargo, los científicos han podido trabajar ya con datos del Líbano y, más recientemente, con una pequeña muestra de datos de menores identificados, es decir con edad conocida, procedentes de Marruecos, uno de los países con mayor representación de menores sin referentes familiares que llegan a España.
¿Tienes una suscripción? Inicia sesión